Doctor Looks Inside 3-Year-Old’s Mouth, Then Asks Mom If She Gave Him THIS to Drink…

Hoang Hao

We all know that dental health is important, but knowing something and acting on that knowledge are entirely different things. What’s even more important than taking care of our teeth ourselves is making sure that our children take care of theirs.

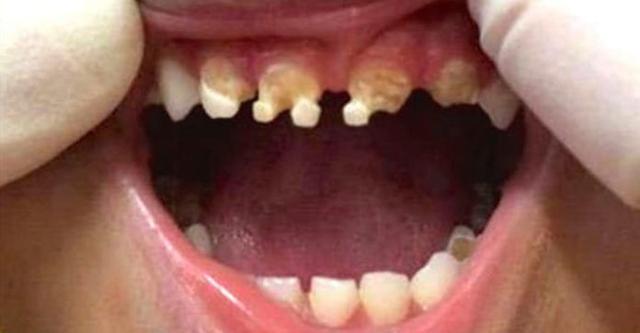
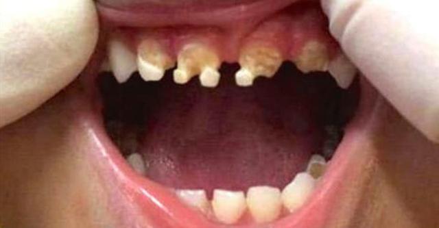
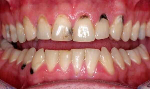
Child tooth decay is becoming so common that it’s basically an epidemic. A doctor in New Zealand recently had to pull 11 teeth from a 3 year old boy because they were rotting! Another bit of common knowledge is that sugary snacks and soda destroy teeth. But again, knowledge and action are different.

How many kids have soda or a sugary snack every day? How many consume things like that more than once a day? How about constantly? It’s extremely common. You’re unlikely to get through a day without at least seeing some kind of sugar snack or drink. It’s resisting the urge to consume them, and making sure that your kids definitely don’t, that’s the key.

0
0
おすすめ