Woman Becomes First Known COVID-19 Patient In U.S. To Receive Double Lung Transplant

HuffPost

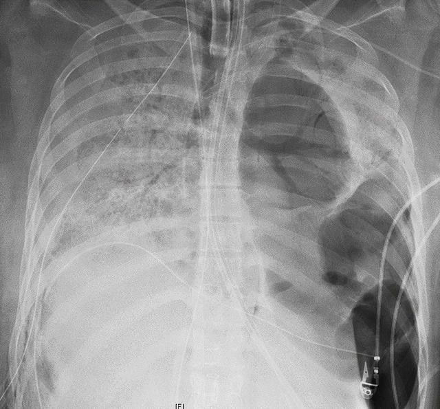
A young woman whose lungs were destroyed beyond repair by the novel coronavirus received a new set of lungs at Chicago’s Northwestern Memorial Hospital last week, her doctors announced Thursday. It’s reportedly the first time a COVID-19 patient in the U.S. has undergone a double lung transplant.

Dr. Ankit Bharat, who performed the surgery, told reporters that the woman — who is in her 20s and had no serious underlying medical conditions prior to contracting COVID-19 — had some of the most damaged lungs he’d ever seen.

The virus had left her lungs full of holes and “completely plastered to tissue around them, the heart, the chest wall and diaphragm,” Bharat told The New York Times.

Without the transplant, the woman — who spent almost two months on a ventilator and heart-lung machine before the surgery — would have died, he said.

For the first time, surgeons at @NorthwesternMed performed a double-lung transplant on a patient whose lungs were damaged by COVID-19 “A lung transplant was her only chance for survival,” says Dr. Ankit Bharat, chief of thoracic surgery.@WGNNews pic.twitter.com/AMBBkkscvU

— Mike Lowe (@MikeLoweReports) June 11, 2020

Bharat said the 10-hour operation, which took place last Friday, was more challenging and took longer than usual because of how damaged the woman’s lungs were. Still, the transplant was a success, he said, and the patient ― though still on a ventilator ― was recovering well.

“Yesterday she smiled and told me just one sentence,” Bharat said, according to the Chicago Tribune. “Thank you for not giving up on me.”

The disturbing photo on the right shows what coronavirus can do to your lungs.

That lung belonged to a Chicago woman — otherwise healthy and in her 20s — who needed a double lung transplant after battling COVID-19. https://t.co/4nBkHyQdm7 pic.twitter.com/MpjlkTE27q

— Kelly Bauer (@BauerJournalism) June 11, 2020

Doctors have hailed the lung transplant as an “important development” in the fight against COVID-19.

Though not a suitable treatment option for all patients, lung transplants could be an option for some ― particularly younger patients with minimal underlying health conditions who sustain irreversible lung damage because of the virus, Bharat said. As The Associated Press noted, a handful of COVID-19 survivors in China and Europe have successfully received new lungs.

Bharat said other medical centers around the country have reached out to find out more about the procedure.

“This is an important development that could help a number of patients who have sustained severe and irreversible lung damage as a result of COVID-19,” he said, according to the Tribune.

A HuffPost Guide To Coronavirus

  • Stay up to date with our live blog as we cover the COVID-19 pandemic
  • 7 essential pieces of relationship advice for couples in quarantine
  • What you need to know about face masks right now
  • How to tell if you need to start doing online therapy
  • Lost your job due to coronavirus? Here’s what you need to know.
  • Parenting during the coronavirus crisis?
  • The HuffPost guide to working from home
  • What coronavirus questions are on your mind right now? We want to help you find answers.
  • Everyone deserves accurate information about COVID-19. Support journalism without a paywall — and keep it free for everyone — by becoming a HuffPost member today.

0
24
コメント 24 件
おすすめ